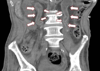
標籤: 記者蕭麗鳳/彰化報導 https//youtube/Z5IyLdyQSYY 61歲梁姓男子半年內因為泌尿道感染住院多達6次,日前再度發燒及泌尿道感染,轉院到衛福部彰化醫院就醫,多科會診發現,包括腎臟及輸尿管等泌尿道系統被一層像是水泥、蛋殼的鈣化物覆蓋,被稱為Encrusted

歡迎回來!

在下方登錄您的帳戶

找回密碼

請輸入您的用戶名或電子郵件地址以重置您的密碼。